Професійна гігієна усіх рівнів складності
Професійна гігієна – надзвичайно важлива процедура по догляду за Вашою усмішкою. Вона не лише робить її чистішою і здоровішою, а й запобігає розвитку карієсу, запаленню ясен та неприємному запаху з рота.
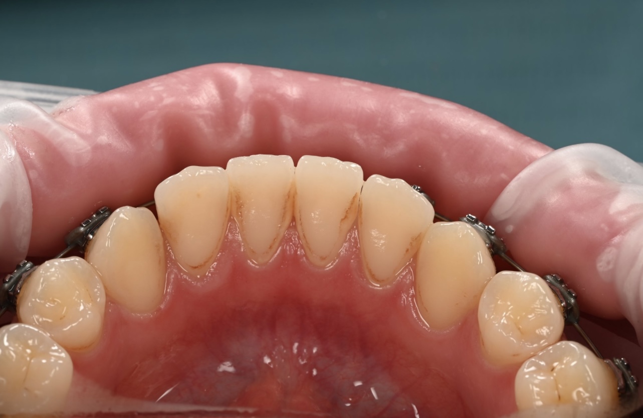
Навіть якщо Ви ретельно чистите зуби вдома, відвідувати гігієніста варто більше одного разу на рік. У важкодоступних місцях накопичується наліт, який з часом перетворюється на зубний камінь. Під час процедури професійної гігієни наш лікар-пародонтолог наносить індикатор нальоту, виявляючи проблемні зони, а потім ретельно очищає їх, видаляючи навіть найбільш пігментований наліт. Це не тільки покращує естетику усмішки, а й дозволяє виявити проблеми на ранній стадії та уникнути серйозних ускладнень у майбутньому.
