Професійна гігієна та пародонтологія

Здоров’я зубів починається з чистоти. Професійна гігієна дозволяє видалити зубний наліт і камінь навіть у важкодоступних місцях, запобігаючи розвитку карієсу та захворювань ясен. У клініці ParusDent ми використовуємо сучасні методи очищення, які забезпечують довготривалий ефект та комфорт пацієнта.

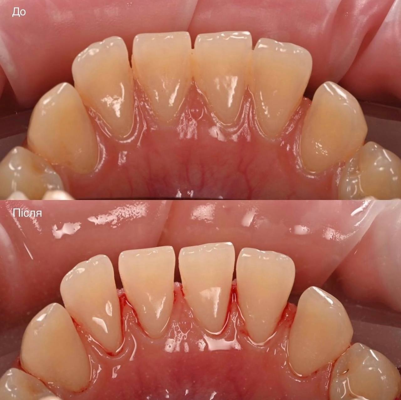
А чи знали Ви, що існують такі захворювання ясен, як гінгівіт і пародонтит? Під час проведення професійної гігієни наш лікар-пародонтолог проводить експрес-тест, щоб перевірити стан ясен і діагностувати наявність цих захворювань.

Гінгівіт – це початкова стадія запалення ясен, яка проявляється почервонінням, набряком і кровоточивістю. Якщо вчасно не розпочати лікування, він може прогресувати до серйознішого захворювання – пародонтиту.

Послуги
Професійна гігієна усіх рівнів складності
Професійна гігієна усіх рівнів складності
Пародонтологічне лікування
Пародонтологічне лікування
Лікування гінгівіту
Лікування гінгівіту
Ціна
Можливість оплати частинами
Для власників карток Приватбанку і монобанку
(безвідсоткове відтермінування на 3-6 місяців)
Отримайте подарунковий сертифікат
Ви можете виграти подарункові сертифікати на
суми 500, 1000 та 1500 грн, слідкуйте за новинами
Записатися на прийом /
задати питання
Заповніть форму і наш менеджер зв’яжеться з Вами найближчим часом
Записатися на прийом
Заповніть форму і наш менеджер зв’яжеться з Вами найближчим часом
Лікарі