Брекети
Найпоширенішим і важливим інструментом для лікаря-ортодонта є брекети!
Вони можуть бути металеві, керамічні, лігатурні, самолігуючі, лінгвальні, різні. І це чудово, адже ви можете їх обрати на свій смак та бажання. Вони фіксуються до зубів та корегують і вирівнюють їх положення, що покращує стоматологічне здоров’я пацієнта.
Як відбувається лікування брекет системою?
- На консультації лікар-ортодонт проводить огляд ротової порожнини, суглобів та м’язів, запитує про скарги та побажання пацієнта, робить фотодіагностику, дає направлення на комп’ютерну томографію та телерентгенографію.
- На наступному візиті, лікар детально розповідає про індивідуальний план лікування, розроблений на основі усіх попередніх даних.
- Далі проводять підготовку ( санацію) ротової порожнини перед фіксаією брекет системи. Лікування карієсів, професійна гігієна зубів та інші необхідні процедури.
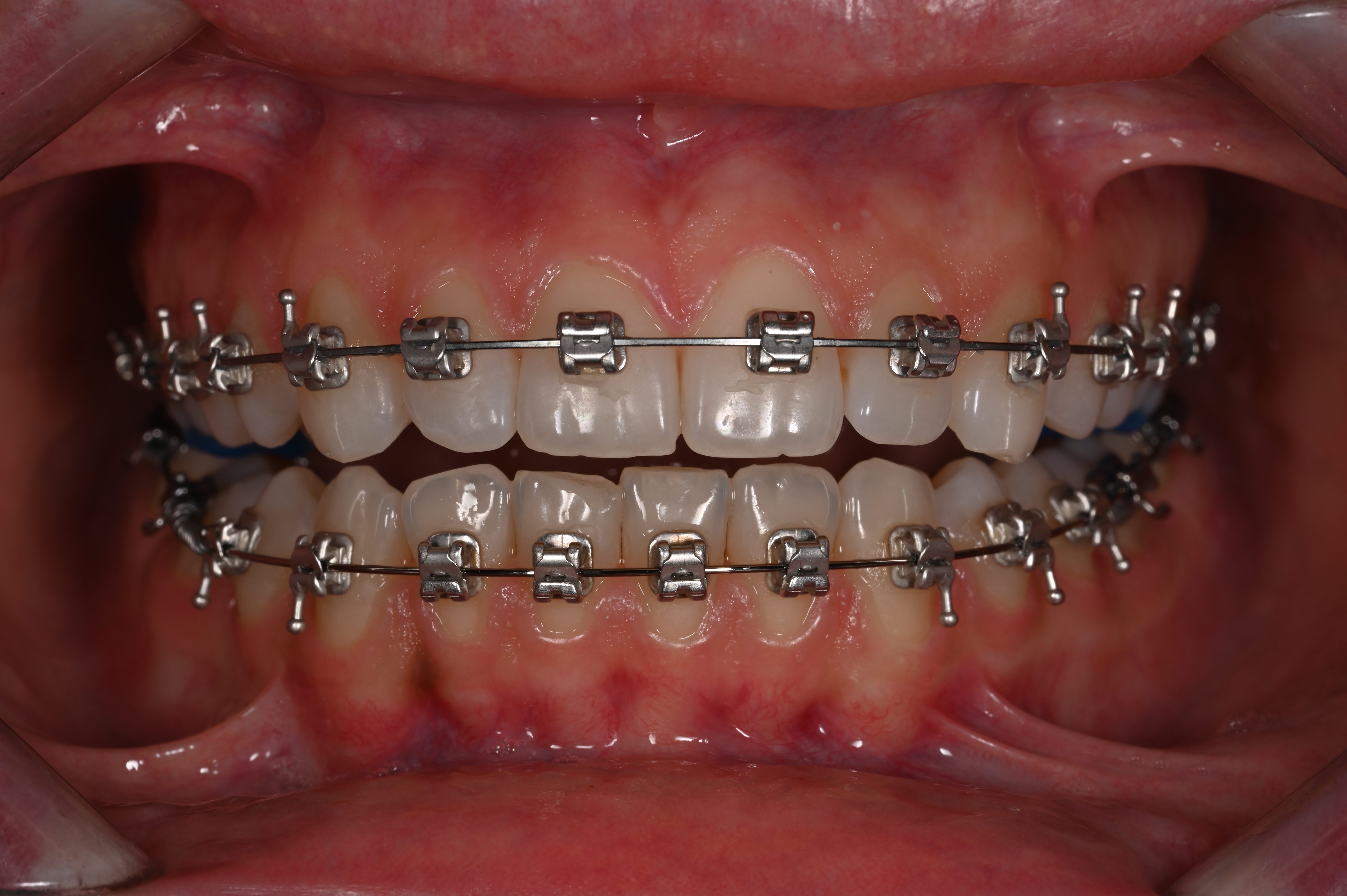
- Фіксація брекет системи. На спеціальний ортодонтичний композит, лікар фіксує брекети та під’єднує до них дугу. Так розпочинається ортодонтичне лікування.
- Контрольні візити - це регулярні зустрічі з ортодонтом, під час яких, лікар замінює дуги, лігатури чи інші необхідні елементи.
- Досягнувши бажаного результату, відбувається зняття брекетів! Та щоб утримати зуби у стабільному положенні, ортодонт фіксує незнімний ретейнер та робить сканування для ретенційної нічної капи. І звісно ж, фото на пам’ять!
Брекет-системи — класичне і водночас надійне рішення для корекції положення зубів і прикусу. Вони ефективні при складних ортодонтичних патологіях і дозволяють досягти точних результатів навіть у найвибагливіших випадках.

Зняття конструкції не означає завершення лікування, адже стабільний ефект забезпечує незнімний ретейнер і регулярне використання нічної капи. Проте ваші зусилля завжди варті результату.