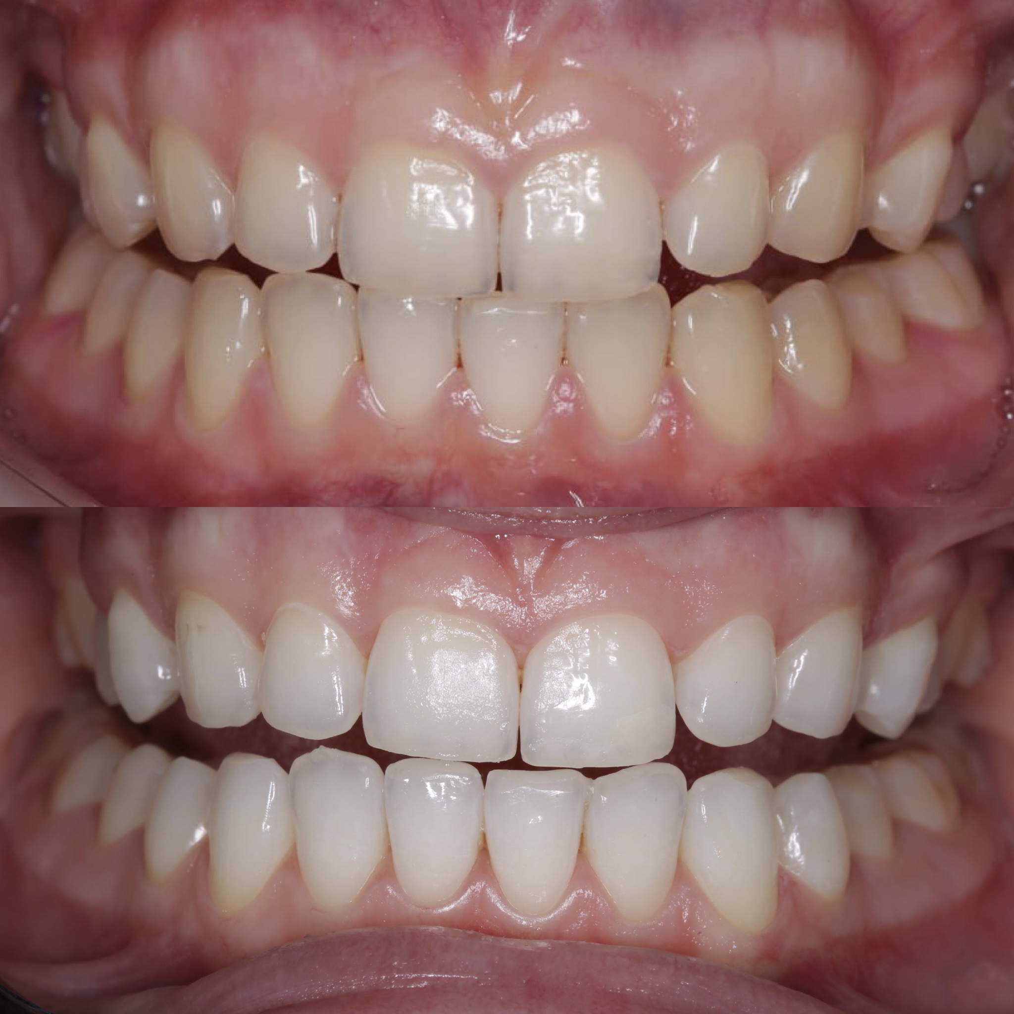
Апаратне відбілювання системою Beyond
Досягти світлішого тону емалі дає змогу відбілювання системою Beyond.
Під час процедури спеціальний гель активують промені LED-лампи, які не перегрівають емаль, але роблять її світлішою. Зуби стають яскравішими вже після першого візиту. Дана процедура ідеальна для тих, хто хоче швидкого та тривалого ефекту до року.
